大動脈解離 B型 ⑩3回目の大動脈手術の決定(胸腹部大動脈置換)
残存し続ける大動脈解離(解離性大動脈瘤)の心配
2017年7月に発症した大動脈解離から2年半が経過した2019年10月末、東京の病院で半年に一度の定期CT検査を受けた。結果は、腹部の大動脈瘤の最大直径 45mm。拡張ペースとマルファン症候群という事を考えれば手術の選択肢を考えてもいい頃だが、「もう少し様子を見ましょう。」とドクターから判断を受けた。胸部大動脈手術を成功してくれ(その時の記録は→コチラ)、いつも親身に話を聞いてくれ、とても頼りになるドクターの判断ではあったが、その時は正直「まだ手術できないのか。」と少しガッカリした気持ちを覚えている。
2年半前に発症した大動脈解離に対する手術として2017年10月に大動脈手術(胸部大動脈置換手術)をしたが、その時に人工血管へ置換できたのは解離している部分の3分の1。人工血管に置換しきれなかったの残り3分の2は残存しながら確実に拡張し続けていた。しかもその箇所は、腎臓や胃腸、足にかけて血流を送っている血管に繋がる胸腹部大動脈。手術をするにしてもその難易度や後遺症リスクも高いことから、治療方針は保存治療として、薬による血圧のコントロールと、拡張具合を定期的な通院(CT検査)で測定し様子を見ることになっていた。
保存治療とはいえ、大動脈解離になってから3年近くずっと大動脈瘤を時限爆弾のように抱えて生活することにフラストレーションを感じていた。子供達はどんどん大きくなっていくのに、本当は一緒に過ごしたい時間の使い方ができない(例えば、子供の運動会の親子競技で走ることも出来ない。普段も抱きかかえたり、肩車してやることも出来ない)。やりたいこと、行きたいところ、全力で頑張ってみたいことの全てが、この大動脈瘤次第(いつまで手術しなくていいのか、どこまで無理をかけていいのか分からない)で悩まされていた。
そんな心配を少しでもいい方向に向かわせたくて、「良き患者であるススメ」(→コチラ)で紹介したように、難易度の高い胸腹部大動脈瘤に対してより手術実績のある病院を探し、2回目に手術をしてくれた東京の病院とは別の病院で並行して定期検査(年1回のCT)を受けていた。
定期検査と3回目の大動脈手術の決定
2020年2月半ば、「胸腹部大動脈瘤の手術をするならここで!」と決めていた神奈川の病院で年1回となるCT検査を受けた。午前中にその検査結果を聞くことができた。結果は、「大動脈瘤が手術適応まで拡張しています。手術を前提にもう少し詳しく調べる必要があるので造影CTなど追加で受けて貰えますか?」とドクターから伝えられた。急に決まった。手術決定だ。
そのドクターからのコメントに、「手術かぁ。うーん。良かったのかな」と、心配と期待の両方の気持ちがあった。当然手術は怖いし出来ればしたくない。ただ、最近は大動脈瘤が拡張していて血流がうまく行ってない(虚血)の影響か、お腹も違和感を感じている。冬場という季節の影響もあるかもしれないが、薬を飲んでいるのになぜか血圧が安定せず最高血圧140くらいまで上がり続けており、自分の腹部大動脈瘤はいつか爆発(破裂)するのではないかと不安を抱えていた。だから、もしかしたらドクターから“手術”の言葉を聞いた時、私は笑顔だったかもしれない。
詳細な追加検査は、血液検査、心電図、肺活量測定、両手両足の血圧測定、レントゲン、心エコー、そして造影CT。その日だけで手術前に受けるべき検査を全部受けた気がした。そして詳細検査の結果を確認しながら手術日程についてドクターと話し、朝からいた病院も会計が終わる頃には外は暗くなり6時半を過ぎていた。
帰り道で、検査に同行して一緒にドクターから話を聞いていた奥さんと、手術について話している時、妙に清々しかったことを覚えている。手術を自信をもって即決してくれたドクターに頼もしさと安心感を感じたこともあったからだろう。また、何より「手術できる!」と決まったことで、いつも重い物を持たせない様するなど色々と気を使ってくれたり、将来について不安にさせている奥さんにこれで少しは負担と心配を少なくすることが出来ると思えたし、将来に向けて希望の光が見えた気がしたからかも知れない。
それから手術予定の2020年4月上旬までのおよそ1ヶ月半の間、東京を中心とする日本で、そして世界中で新型コロナウィルスが拡大し猛威を振るう中、コロナや風邪には絶対に罹らないようにと注意を払いながら手術できるその日に向けて準備を進めていった。
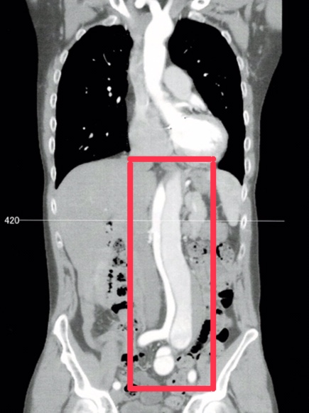
下の写真は手術を決定づけたCT画像。通常2cmと言われる腹部大動脈が解離した状態で倍以上に拡張している(赤枠内)。赤枠下半分に位置する部分は、本来の血液の流れである真腔(白色部分)、解離で裂けた血管内を流れる偽腔(薄い灰色)、それと淀んだ血液が偽腔内で固まっている部分(右端の濃い灰色)の3層になっていることがわかる。
